Преимущества серебрения зубов
Одно из главных преимуществ серебрения – ее безболезненность и простота проведения. Большинство малышей не любят, чтобы им что-либо делали во рту, тем более такой страшной для них бормашиной. А процесс пломбирования своей длительностью может утомить даже взрослых. Процедура серебрения не только поможет защитить зубы от их дальнейшего разрушения, а также позволит установить доверие в отношениях между ребенком и стоматологом, избавить кроху от страха. Используемое при серебрении вещество не токсично, поэтому оно является абсолютно безопасным даже для самых маленьких деток. Такой способ лечения начинающегося кариозного процесса не только является простым и недорогим, это также прекрасное его профилактическое средство. Но его можно использовать исключительно в начале заболевания, когда на зубах еще не появились черные участки, а пораженные кариесом зоны имеют вид матовых пятен белого цвета. Именно такие пятна дают подсказку о том, что уже начался процесс деминерализации эмали и в скором времени начнет размягчаться дентин (твердая зубная поверхность). Если на данном этапе произвести процедуру серебрения, то можно остановить дальнейшее развитие процесса.
Необходимо иметь четкое понимание о том, что серебрение не способно излечить кариес, но ему под силу остановить его развитие. Такая процедура позволяет на время законсервировать зубы, дождавшись того возраста, в котором можно будет осуществить полноценное лечение или же когда на смену молочного зуба прорежется постоянный. Со временем пленка серебра на зубах под воздействием на нее кислоты, которая содержится в продуктах питания, может разрушаться. Поэтому не нужно рассчитывать на долговременный эффект. Необходимо периодически проводить проверку состояния зубов и процедуру серебрения при необходимости повторять.
Показания к серебрению молочных зубов
Положительный эффект даст обработка зубов, пораженных кариесом только в начальной стадии. Она определяется появлением мелких, едва заметных меловидных пятен на зубной эмали. Если же кариес уже повредил зуб настолько, что в нем образовалась дырка, серебрение положительного эффекта не принесет. Более того, такая процедура может навредить. Как известно, нитрат серебра состоит из соли металла серебра и азотной кислоты, именно соль, проникнув внутрь зуба, может вызвать ожог зубного нерва. Это обернется болью и слезами для малыша.
Важно помнить, что процедура серебрения даст положительный результат только в том случае, если она проводится ежемесячно. Процедуру нужно осуществлять только в кабинете стоматолога, поскольку один из ключевых моментов процесса – удаление зубного налета, что возможно только с использованием профессионального оборудования
Серебрение молочных зубов проводят детям, не достигшим 3-летнего возраста, в период, когда молочные зубы прорезались, а прикус окончательно сформировался.
Ребенку, перешагнувшему этот возрастной порог, можно проводить стандартные стоматологические процедуры.
Принцип действия метода
Кариес – это бактериально-инфекционное заболевание. Метод серебрения обладает антибактериальным и антисептическим воздействием. Раньше для процедуры применяли раствор нитрата серебра. Сегодня активным веществом является фторид диаммина серебра. В его состав входит серебро и фтор, которые оказывают воздействие по двум направлениям.
Эффект от серебрения достигается за счет того, что при соприкосновении молекул диаммина серебра с костной тканью возникает химическая реакция, результатом которой является образование таких соединений, как фтористый кальций и фосфат серебра. Они образуют защитную оболочку на поверхности зубов, благодаря которой вредоносные бактерии не задерживаются на эмали и не проникают в глубокие слои зуба. Фтористый кальций заполняет пустоты в поверхности единиц, укрепляя их, а фосфат серебра уничтожает бактерии.
Важно знать, что кариес не исчезает после серебрения. Он перестает распространяться и прогрессировать
Как проводится серебрение зубов
- Сначала зубы тщательно очищаются от налета.
- Далее, при необходимости, специалист очищает кариозную полость от размягченного дентина с помощью специального инструмента.
- Удаляются нависающие края зубной эмали.
- Кариозной полости придают необходимую форму (в виде блюдца) для легкого очищения зубной щеткой в домашних условиях.
- Зуб изолируют от попадания слюны и наносят на него специальный препарат.
Чаще всего используют такие препараты, как «Сафорайд« или «Аргенат однокомпонентный».
Противопоказания к серебрению зубов
- Аллергическая реакция на компоненты препарата, используемого для серебрения.
- Наличие соматических заболеваний в тяжелой форме.
- Кариес в запущенной форме.
- Возраст ребенка старше 3 лет.
Специалисты также не рекомендуют проводить серебрение зубов детям, которые употребляют пищу с высоким содержанием фтора.
Преимущества и недостатки процедуры
Стоматологи не имеют единого мнения об эффективности и целесообразности серебрения. Чтобы сделать собственные выводы, необходимо ознакомиться с достоинствами и недостатками процедуры.
Преимущества:
- Отсутствие болевых ощущений.
- Безопасность.
- Невысокая стоимость.
- Эффективность. Развитие кариеса начальной формы останавливается.
- Быстрая скорость выполнения процедуры.
Недостатки:
- Необходимость проведения серебрения несколько раз. Частота проведения процедур составляет 3-5 раз в год.
- Серебрение не является методом лечения зубов. Это лишь профилактика кариеса на определенный срок.
- Нет возможности обработать зубы с глубоким кариесом, так как высока вероятность повреждения зубного нерва.
- При выполнении процедуры неопытным стоматологом зубы могут начать болеть.
- Не всегда удается в достаточной степени очистить зубы от налета перед тем, как провести серебрение.
- Зубы, обработанные раствором серебра, приобретают темно-серый оттенок.
Слово доктору
Сергей Ковалев,
Стоматолог, терапевт
К сожалению, кариес неизбежен в жизни любого человека, а особенно ребёнка – организм которого пока ещё достаточно слаб, чтобы сопротивляться агрессивной окружающей среде. Какой метод терапии современная стоматология считает наименее инвазивным? Конечно, профилактика. Особенно когда речь идёт о ребёнке – лечить которого гораздо сложнее, чем взрослого:
- дети более чувствительны к стоматологическим манипуляциям,
- они менее терпеливы, чем взрослые.
Предупредить появление кариеса, или затормозить его развитие в начальных стадиях помогут такие процедуры как серебрение и фторирование. У обеих есть как преимущества, так и недостатки. Поэтому правильный выбор в пользу одного или другого вам поможет сделать ваш семейный врач-стоматолог.
Рейтинг статьи:
(0)
Ваша оценка:
Серебрить зубы или нет?
Серебрение — безболезненная процедура, однако ее эффект может не только не оправдать ваши ожидания, но и негативно повлиять на отношение ребенка к лечению зубов.
Во-первых, перед процедурой врачу нужно тщательно почистить зубки малыша, а это может напугать его. Во-вторых, черный цвет эмали причинит крохе психологический дискомфорт — он начнет стесняться своей улыбки.
К тому же серебрение зуба при среднем или глубоком кариесе может быть опасным. Бактерии остаются запечатанными в дентинных канальцах и активно там размножаются, при этом потемневшая из-за нитрата серебра эмаль не дает родителям даже шанса заметить этот процесс. В результате кариес за несколько месяцев перерастает в пульпит, и зуб, который можно было спасти, приходится удалять.
Кроме того, во время процедуры состав может попасть на десну. В этом месте возникает зуд, покраснение или ожог, возможна даже аллергическая реакция.
Альтернативы серебрению
Не все родители соглашаются на серебрение молочных зубов у детей из-за весомых недостатков процедуры. Мы готовы предложить более щадящие и эстетические варианты профилактики кариеса.
- Фторирование. Данный метод эффективен на стадии белого пятна. Глубокое фторирование способствует насыщению зубной эмали фтором, укрепляя ее структуру и предотвращая вымывание кальция.
- Реминерализация. Процедура обеспечивает насыщение ослабленных участков эмали кальцием и минеральными веществами. Перед реминерализацией требуется очистить зубы от налета, так как в противном случае процедура будет неэффективной. Методика подходит для прекращения развития кариеса в стадии малых пятен. Также могут быть обработаны здоровые единицы с целью предотвращения образования кариозных поражений. Гели для реминерализации можно использовать и в домашних условиях. Однако, при этом эффективность не гарантирована. Дело в том, что в клинике специалист использует специальные пасты и приборы для очищения зубной поверхности. Это обеспечивает глубокое проникновение компонентов препарата в зубную эмаль.
При наличии кариозных поражений, которые затронули дентин, серебрение, реминерализация и фторирование – бесполезные процедуры.
- Лечение кариеса препаратом «ICON». Данная методика также применяется только при кариесе в стадии белого пятна. Препарат «ICON» представляет собой композитный материал, который используют для заполнения и закрытия пор в зубной эмали. Процедура способствует устранению белых пятен с поверхности единиц. Преимуществами методики являются:
- Отсутствие необходимости в обезболивании.
- Отсутствие окрашивания зубов, как после серебрения.
- Гарантия положительного эффекта.
В отличие от серебрения, препарат «ICON» обычно используется только для детей старше 3-х лет. Это связано с тем, что маленькому пациенту необходимо провести 15-20 минут в кресле специалиста практически без движения. Процедура является более эффективной и эстетической, чем серебрение, ног стоит дороже.
Психологическая сторона вопроса
Дети нечасто смотрятся в зеркало и не задумываются о том, какого цвета должны быть их зубки. Но на черные пятнышки могут указать другие малыши, составляющие компанию ребенку в детском саду, на площадке или в развивающем центре. Поэтому, перед тем, как посеребрить зуб, желательно поговорить с крохой и рассказать, какие изменения предстоят и зачем это нужно.
Ребенок должен уяснить, что «серебрянка» на эмали надежно защищает ее от вредного воздействия инфекции
Неважно, как выглядят зубки, начавшие чернеть, главное, что, если не принять меры, они могут начать болеть и выпадать
Если ребенка начали дразнить, он может перенести стресс. Чтобы дать отпор насмешникам, малыш может ответить, что его зубы с серебряными, а не с черными отметинами.
Планируете ли вы сделать процедуру серебрения зубов своему ребенку?
- Да, планирую 58%, 14 голосов 14 голосов 58%
14 голосов — 58% из всех голосов
- Пока не знаю 29%, 7 голосов
7 голосов 29%
7 голосов — 29% из всех голосов
- Нет, выберу другую 13%, 3 голоса
3 голоса 13%
3 голоса — 13% из всех голосов
Всего голосов: 24
21.09.2018
×
Вы или с вашего IP уже голосовали.
Показания к серебрению молочных зубов –
Метод серебрения зубов применяется только для лечения молочных зубов. Высокую эффективность он может показать только при лечении передних зубов, а также при лечении кариеса на щечной поверхности моляров. Это связано с тем, что в кариозных полостях будут продолжать скапливаться пищевые остатки, а добиться приостановки кариозного процесса после серебрения – можно только при соблюдении идеальной гигиены полости рта у ребенка. Т.е. обязательно должно быть удобно вычищать пищевые остатки из кариозных дефектов при помощи щетки.
Таким образом, серебрение будет абсолютно не эффективно при лечение кариозных поражений на жевательной и контактных поверхностях моляров (боковых зубов), а также при наличии слишком глубоких кариозных полостей. Из таких кариозных дефектов невозможно полностью убрать пищевые остатки ни четкой, ни полосканием, и следовательно процесс гниения твердых тканей зуба продолжится. Из вышесказанного следует и еще одно ограничение – если родители не готовы осуществлять и/или контролировать уход за зубами ребенка, то это является противопоказанием к проведению серебрения зубов.
Метод серебрения проводится –
- При наличии очагов деминерализации эмали (рис.4).
- При поверхностном кариесе (т.е. когда глубина кариозного поражения находится в пределах толщины эмали).
- При среднем кариесе (кариесе дентина), только если кариозные полости неглубокие, и в дальнейшем будет осуществляться идеальный гигиенический уход за зубами ребенка.
- При формах кариеса, при которых уже невозможно провести качественное пломбирование зуба (даже при согласии ребенка). Речь идет о плоскостной форме, т.е. когда кариозный дефект занимает сразу целиком одну или несколько поверхностей зуба (рис.5), а также о циркулярной форме, при которой кариес охватывает целиком шейку зуба (рис.6).
Некоторые варианты кариеса зубов –
Возраст ребенка –
Чаще всего серебрение зубов проводят у детей в возрасте до 3 лет. Это связано с тем, что в таком возрасте ребенок еще не дает врачу нормально пролечить кариозный зуб. В большинстве случаев с детьми старше 3-3,5 лет детскому стоматологу удается договориться и провести как минимум методику щадящего пломбирования зуба (тут все будет зависеть только от умения и желания детского стоматолога найти контакт с ребенком). Но у эмоционально-неуравновешенных детей этот метод может применяться и в более старшем возрасте.
Как проходит процедура
Серебрение зубов – это простая и непродолжительная процедура. Пораженная кариесом эмаль очищается от налетов, а затем на нее ватным тампоном наносится состав. Процедура не вызывает у ребенка никаких негативных ощущений.
Повторять процесс серебрения обычно требуется 3-5 раз в 4-6 месяцев.
Показания к серебрению:
Единственное серьезное показание к серебрению молочных зубов – это кариес в стадии пятна у ребенка до трех лет. Впрочем, часто серебрение делают и детям постарше.
Противопоказания к серебрению:
- Наличие кариозных полостей
- Тяжелые соматические заболевания
- Аллергия на компоненты препарата
- Возраст старше трех лет. Это противопоказание иногда игнорируется, так как серебрение в этом случае не опасно для здоровья
Достоинства серебрения:
- Приостановка развития кариозного процесса
- Полная безболезненность процедуры, а также ее скорость
- Возможность осуществлять даже маленьким детям
- Достаточно низкая стоимость
Недостатки серебрения:
- Нельзя применять при кариесе на любой стадии кроме пятна
- Появление на зубах очень неэстетичного черного налета – именно с этим связано ограничение на серебрение по возрасту
Актуальные акции стоматологий
50%
Предложение ограничено
Подробнее
Предложение ограничено
Подробнее
Предложение ограничено
Подробнее
Предложение ограничено
Подробнее
Предложение ограничено
Подробнее
Предложение ограничено
Подробнее
Предложение ограничено
Подробнее
Предложение ограничено
Подробнее
Предложение ограничено
Подробнее
7%
Предложение ограничено
Подробнее
Предложение ограничено
Подробнее
Предложение ограничено
Подробнее
Предложение ограничено
Подробнее
Предложение ограничено
Подробнее
Предложение ограничено
Подробнее
Предложение ограничено
Подробнее
Предложение ограничено
Подробнее
20%
Предложение ограничено
Подробнее
Предложение ограничено
Подробнее
Предложение ограничено
Подробнее
50%
Предложение ограничено
Подробнее
Предложение ограничено
Подробнее
Предложение ограничено
Подробнее
30%
Предложение ограничено
Подробнее
Предложение ограничено
Подробнее
20%
Предложение ограничено
Подробнее
Предложение ограничено
Подробнее
Предложение ограничено
Подробнее
Предложение ограничено
Подробнее
Предложение ограничено
Подробнее
Предложение ограничено
Подробнее
Предложение ограничено
Подробнее
20%
Предложение ограничено
Подробнее
Предложение ограничено
Подробнее
5%
Предложение ограничено
Подробнее
20%
Предложение ограничено
Подробнее
20%
Предложение ограничено
Подробнее
Показания и противопоказания
Решение о целесообразности применения раствора серебра принимает врач. Показаниями к процедуре являются:
- Кариозные пятна в начальной стадии заболевания.
- Микротрещины и сколы на поверхности зуба.
- Чувствительность и явное беспокойство ребенка, делающие невозможным применение бормашины.
- Детям, проживающим в районах с низким содержанием фтора в воде и продуктах питания, серебрение зубов могут назначить как меру профилактики. В ряде случаев метод применяется для увеличения срока службы пломбы.
Если родители сомневаются, серебрить или нет зубы малышу, нужно учесть и противопоказания, которыми являются:
- Большая степень поражения зуба: кариес в средней и глубокой стадии.
- Проживание в местности, характеризующейся высоким содержанием фтора.
Советы и рекомендации родителям
- Если Вы не уверены в правильности выбора относительно серебрения зубов, то лучше отдайте предпочтение фторированию или реминерализации.
- При обнаружении серых пятен на зубах ребенка необходимо проконсультироваться со специалистом. Он проведет осмотр и даст рекомендации относительно предотвращения развития кариеса.
- Если на молочных зубках появились белые пятна, то доктор, скорее всего, посоветует использовать зубные пасты с фтором. Обычно данной меры достаточно для того, чтобы не допустить развития болезни.
- Если кариес поразил только зубную эмаль, то достаточно будет выполнить фторирование или реминерализацию. Серебрение в данном случае уступает первым двум методам профилактики.
- При среднем кариесе серебрение поможет отсрочить развитие пульпита. Однако, лучше провести полноценное лечение и поставить пломбу.
- Не зависимо от выбора методики, стоит помнить о том, что после процедуры необходимо обеспечить ребенку надлежащую гигиену и научить его правильно чистить зубы.
- Питание малыша должно быть сбалансированным. Необходимо обеспечить ребенка продуктами с содержанием кальция, фтора, фосфора, магния и других микроэлементов. В детском возрасте формируется структура зубной эмали постоянных единиц.
Альтернативы серебрению
Установка пломбы считается лучшим решением проблемы кариеса на молочных зубах. Однако в случаях, когда ребенок психологически не готов к пломбированию, врач может посоветовать другие варианты.
В их числе, помимо серебрения:
фторирование зубов.
Фторирование заключается в обработке и насыщении эмали с помощью специального состава — пасты или геля с фтором, а также с магнием, кальцием, калием и другими элементами. Процедура обладает обеззараживающим эффектом, позволяет восстановить и укрепить эмаль молочных зубов.
Такой вариант приемлем, если на зубе нет кариозных полостей, а только белое пятно.
реминерализация.
Другой вид стоматологической терапии — реминерализация, заключающаяся в обогащении поврежденных или ослабленных участков эмали минералами. Перед тем, как наносить гель, с поверхности зубов удаляют загрязнения, в том числе — зубной камень.
Реминерализацию можно проводить не только на ослабленных зонах, но и на здоровых зубах в целях профилактики.
![]()
Запечатывание естественных бороздок зуба позволяет предотвратить кариес
герметизация естественных бороздок зуба (или фиссур).
Процедура представляет собой «запечатывание» узких канавок и борозд, в которых скапливаются бактерии. Герметизация служит барьером для размножения микроорганизмов, что, в свою очередь, предотвращает развитие кариеса. Фтор, входящий в состав «запечатывающего» материала, укрепляет зубную эмаль.
озонирование.
Уничтожить бактерии и остановить процесс заражения позволяет озонирование — обработка зуба специальным озоносодержащим средством.
Если у ребенка поражены внутренние ткани зуба, ни один из видов профилактики не поможет. В данном случае лечение возможно только с помощью установки пломбы.
Принимать решение о серебрении, равно как и о другом способе медицинского вмешательства, следует с детским стоматологом. Некоторым детям легче дается поход к врачу, если визиты разделены: один день — знакомство, осмотр и консультация, другой — лечение.
Количество просмотров
240
Техника выполнения процедуры
![]()
Способ выполнения серебрения за долгое время не претерпел никаких изменений. Импрегнация молочных зубов проводится в следующем порядке:
- Подбор препарата. Список медикаментов, применяемых при данном методе, обширен. Главное действующее вещество, входящее в состав раствора, – 30-процентный нитрат серебра. Помимо этого, необходимо специальное масло на основе вазелина, защищающее слизистую десен при обработке.
- Очищение эмали щетками с нанесением абразивной пасты. Выполняется для освобождения поверхности зубика от налета, микроорганизмов и отмерших частиц.
- Ополаскивание рта от пасты водой.
- Защита от слюны с помощью ватных валиков, осушение ротовой полости теплым воздухом.
- Обработка десен вазелиновым маслом для профилактики ожогов.
- Нанесение раствора, содержащего серебро, стоматологическим аппликатором (микробрашем). Обработку проводят локально, избегая попадания препарата на десну. Спустя несколько минут процедуру повторяют, затем наносят восстановитель.
- На заключительном этапе посеребренную поверхность сушат теплым воздухом. Признак правильно проведенной процедуры – проявившаяся чернота эмали в месте нанесения раствора.
В течение 40–60 минут после лечения не рекомендуется полоскать рот, есть и пить.
Психологические последствия процедуры серебрения зубов в детском возрасте
Зубы после проведения серебрения становятся черными. Родителям это может показаться мелочью, потому что главное для них, чтобы их чадо было здоровым. Но дети иногда очень болезненно реагируют на такую перемену внешности, а также реакцию окружающих на это. Случается, что некоторые дети после проведения серебрения зубов боятся открывать рот или разговаривать, чтобы окружающие не смогли заметить, что случилось с их зубами. В некоторых случаях может даже развиваться депрессия. Именно поэтому родителям, планирующим посеребрить зубы своему малышу, нужно с ним обязательно предварительно все обсудить, объяснив все последствия и преимущества такой процедуры, а также постараться убедить дитя в необходимости ее проведения. Иногда дети, особенно те, которым исполнилось 4-5 лет, узнав, что произойдет после серебрения, чтобы не потерять свою красивую улыбку соглашаются лечить зубки при помощи бормашины.
Еще одной проблемой является окружение ребенка. Если он посещает детский сад, обязательно поинтересуйтесь есть ли там малыши, у которых проводилось серебрение зубов, как относятся к ним сверстники, не смеются ли над ними. Если возникнет такая необходимость, попросите воспитателя провести детям беседу о процедуре серебрения и то, почему у одного малыша зубки черные, а у другого – белые.
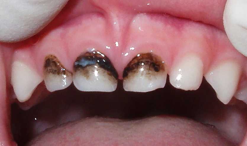
Фото серебрения молочных зубов
-
Серебрение
Серебрение -
Серебрение
Серебрение -
Серебрение
Серебрение -
Серебрение
Серебрение -
Серебрение
Серебрение
View the embedded image gallery online at:
Почему так важно вовремя лечить кариес молочных зубов
Кариес – одна из самых распространенных стоматологических патологий, приводящая к постепенному разрушению твердых тканей в результате стремительного размножения бактерий и вредоносных микроорганизмов. Возможных предпосылок развитию заболевания довольно много: от любви к сладкому и недостаточной гигиены до неправильного формирования зачатков зубов еще на этапе внутриутробного развития плода. В любом случае, проблема серьезная и требует своевременного лечения, особенно если речь идет о молочных резцах с тонким эмалевым слоем.
Некоторые родители ошибочно полагают, что лечить временные зубы необязательно. Ожидая их скорой смены, они упускают из виду очень важный момент: патологический процесс быстро разрушает твердые ткани, приводит к их гниению и при этом неизбежно распространяется на зачатки постоянных элементов. В результате те прорезываются уже с проблемами. К тому же запущенный кариес переходит в пульпит, что порой приводит к необходимости преждевременного удаления причинного зуба. В этом случае возникает серьезный риск развития челюстных аномалий, для устранения которых впоследствии придется проходить длительное ортодонтическое лечение.
![]()
Если проблему не лечить, можно потерять зубы
Развитие кариеса начинается с появления небольшого миловидного пятнышка на эмали – на этом этапе есть еще шанс спасти ситуацию и не допустить дальнейшего распространения патологического процесса. Для этого в стоматологии проводят процедуру серебрения или назначают курс фторирования. Чтобы понять, что лучше выбрать для ребенка, стоит подробно рассмотреть плюсы и минусы каждый из методик.
Почему нужно лечить кариес молочных зубов
Взрослым рекомендованы профилактические осмотры стоматолога раз в полгода. Возможно вы будете удивлены, узнав, что малышей нужно показывать врачу в два раза чаще – раз в 3 месяца. Это связано с тем, что у детей процессы в организме происходят быстрее, и кариес может развиваться молниеносно.
Часть родителей не беспокоятся по этому поводу, думая, что преждевременная потеря молочных зубов – дело пустячное, мол все равно вырастут новые. Но они глубоко ошибаются.
Молочные зубы требуют внимания и сохранения по таким причинам:
- Кариес – это инфекционный гнилостный процесс в ротовой полости. Прогрессируя, он вызывает воспаления пульпы и даже надкостницы. Возникает сильная боль, температура, может развиться абсцесс.
- Инфекция может распространяться по организму, вызывая другие заболевания – простуды, синуситы и даже болезни сердца.
- Молочные зубы влияют на правильный рост зубов постоянных. Если они удалены прежде срока, постоянные единицы могут начать прорезываться неправильно, что влияет на формирование патологии прикуса, а значит дикции и строения лица.
- Нарушения процесса жевания может вести к болезням ЖКТ и недостаточному усвоению пищи.
Поэтому маленького ребенка нужно водить к стоматологу на регулярную проверку. А при обнаружении первых признаков кариеса лучше его остановить на начальном этапе без бормашины, уколов анестезии, не создавая стресса малышу.
Что говорят эксперты
Обратите внимание на тот факт, что некоторые специалисты считают, серебрение – это в принципе, практически единственная мера, которая поможет безопасно и совсем ненадолго «заморозить» начальный кариес у самых маленьких пациентов, возраст которых еще не достиг 3-х лет и с которыми невозможно договориться о проведении другого, более эффективного типа лечения по объективным причинам. В остальных же случаях врачи считают метод малоэффективным
Они не видят в нем явных плюсов. Кроме черных зубов и стеснения в более старшем возрасте ребенок не получает ничего. А вот его родители успокаиваются, считая, что приняли меры
В остальных же случаях врачи считают метод малоэффективным. Они не видят в нем явных плюсов. Кроме черных зубов и стеснения в более старшем возрасте ребенок не получает ничего. А вот его родители успокаиваются, считая, что приняли меры.
Поэтому, если все же возникла необходимость воспользоваться процедурой серебрения, то после нее не останавливайтесь на достигнутом эффекте, не теряйте бдительности. А также обязательно показывайте малыша специалисту на профилактических осмотрах. И не забудьте: по достижении трехлетнего возраста нужно вернуться к возникшим ранее проблемам и пролечить начальный кариес, если он имеет место быть, более действенными способами.
Описание технологии проведения
Рекомендуемый возраст проведения процедуры – до трех лет, после чего применяются другие методики лечения, а также есть возможность использовать более инвазивные способы.
Процесс проведения серебрения очень прост и занимает всего несколько минут. После очищения гладких поверхностей зубов, стоматолог начинает их обработку.
На нужные участки с помощью ватного тампона просто наносят нужное количество используемого препарата, а затем на несколько минут оставляют до образования специфической пленки.
Обо всех «за» и «против» серебрения рассказывает доктор Комаровский в этом видео:
https://youtube.com/watch?v=XBLLj6l8Yxk
Недостатки
Как и большинство профилактических методик, серебрение также имеет ряд недостатков. Однако если процедура проводится своевременно, то их, в большинстве случаев, можно считать несущественными.
- Невозможность использования на поздних стадиях развития кариеса у детей, когда, помимо поражения эмали, заболевание затрагивает также дентин. В этом случае внешняя защита от воздействия бактерий не имеет смысла, так как процесс разрушения происходит во внутренних слоях.
- Не всегда помогает защитить от развития кариеса даже на ранних стадиях, если процесс развивается на жевательных поверхностях в связи с их сложным строением – наличием фиссур.
- Пред проведением процедуры необходимо осуществить тщательную чистку поверхности зубов профессиональным методом, что может стать проблемой в некоторых случаях, когда малыши испытывают страх или подобные чувства.
Есть еще один недостаток, который многие считают наиболее весомым, касается эстетической стороны лечения. После проведения процедуры те места, на которые наносились препараты, приобретают темный, практически черный цвет. Именно это и отпугивает многих родителей и детей, хотя не влияет на эффективность методики.
Ролик с кратким ответом на вопрос об эффективности такой профилактики кариеса:
https://youtube.com/watch?v=4Mx4lyRoTj8
Альтернатива серебрению
Серебрение – это достаточно старый метод, и сегодня стоматология разработала уже немало способов остановить детский кариес другими средствами:
- Фторирование – обработка эмали различными фторсодержащими препаратами, которые образуют на поверхности зубов плотную пленку, защищая эмаль от вредоносных бактерий. Можно применять только после 4 лет
- Озонирование – обработка зубов озоном, обладающим обеззараживающим действием. Также не подходит для маленьких детей
Оценить статью:
4.5
Отказ от ответственности:
Этот материал не предназначен для обеспечения диагностики, лечения или медицинских советов. Информация предоставлена только в информационных целях. Пожалуйста, проконсультируйтесь с врачом о любых медицинских и связанных со здоровьем диагнозах и методах лечения. Данная информация не должна рассматриваться в качестве замены консультации с врачом.
Нужна стоматология?
Выберите метроАвтовоАкадемическаяБалтийскаяВасилеостровскаяВладимирскаяВолковскаяВыборгскаяГорьковскаяГостиный ДворГражданский ПроспектДевяткиноДостоевскаяЕлизаровскаяЗвезднаяЗвенигородскаяКировский ЗаводКомендантский ПроспектКрестовский ОстровКупчиноЛадожскаяЛенинский ПроспектЛеснаяЛиговский ПроспектЛомоносовскаяМаяковскаяМосковскаяМосковские ВоротаНарвскаяНевский ПроспектНовочеркасскаяОбуховоОзеркиПарк ПобедыПарнасПетроградскаяПионерскаяПлощадь Александра НевскогоПлощадь ВосстанияПлощадь ЛенинаПлощадь МужестваПолитехническаяПриморскаяПролетарскаяПроспект БольшевиковПроспект ВетерановПроспект ПросвещенияПушкинскаяРыбацкоеСадоваяСенная ПлощадьСпасскаяСпортивнаяСтарая ДеревняТехнологический ИнститутУдельнаяУлица ДыбенкоФрунзенскаяЧерная РечкаЧернышевскаяЧкаловскаяЭлектросилаАдмиралтейскаяБухарестскаяОбводный каналМеждународнаяБеговаяЗенитПроспект СлавыДунайскаяШушары
Посмотрите стоматологии Санкт-Петербурга
Возле метроАвтовоАкадемическаяБалтийскаяВасилеостровскаяВладимирскаяВолковскаяВыборгскаяГорьковскаяГостиный ДворГражданский ПроспектДевяткиноДостоевскаяЕлизаровскаяЗвезднаяЗвенигородскаяКировский ЗаводКомендантский ПроспектКрестовский ОстровКупчиноЛадожскаяЛенинский ПроспектЛеснаяЛиговский ПроспектЛомоносовскаяМаяковскаяМосковскаяМосковские ВоротаНарвскаяНевский ПроспектНовочеркасскаяОбуховоОзеркиПарк ПобедыПарнасПетроградскаяПионерскаяПлощадь Александра НевскогоПлощадь ВосстанияПлощадь ЛенинаПлощадь МужестваПолитехническаяПриморскаяПролетарскаяПроспект БольшевиковПроспект ВетерановПроспект ПросвещенияПушкинскаяРыбацкоеСадоваяСенная ПлощадьСпасскаяСпортивнаяСтарая ДеревняТехнологический ИнститутУдельнаяУлица ДыбенкоФрунзенскаяЧерная РечкаЧернышевскаяЧкаловскаяЭлектросилаАдмиралтейскаяБухарестскаяОбводный каналМеждународнаяБеговаяЗенитПроспект СлавыДунайскаяШушары
Все стоматологии Санкт-Петербурга
Психологическая сторона вопроса
Иногда могут возникать негативные психологические последствия для ребенка после проведения процедуры. Связано это с сильным ухудшением эстетики зубов. Ведь люди привыкли, что нормальный цвет эмали – белый или слегка желтоватый.
В большинстве своем, дети не испытывают подобных трудностей, так как еще не осознают, какими зубки должны быть. Однако малыши ходят в дошкольные учебные заведения – садики, где другие могут им указать на это.
Хуже всего, если малыш стеснительный и замкнутый от природы, а в саду его будут дразнить и смеяться. Тогда ребенок может просто замкнуться еще больше, переживая стресс, не разговаривать и просто бояться открыть рот.
![]()
Именно поэтому родители должны заранее подготовить малыша к проведению процедуры, обстоятельно рассказав, чего следует ожидать
Необходимо акцентировать внимание на том, что несмотря на внешний вид, его зубки будут здоровыми и не станут болеть
Черный цвет сохраняется до реставрации или выпадения зуба, когда за ним придет «зубная фея» или мышка.
Иногда дети даже гордятся таким цветом эмали, на насмешки сверстников отвечая, что это не «черные», а «серебряные» зубы. Тогда насмешки утихают сами собой.
Все это можно и нужно рассказать малышу, предупредив, что если не сделать серебрение сейчас, то впоследствии зубки могут болеть и придется их сверлить и пломбировать.
